Diagram Mrp2

Diagram Mrp2

  • Category : Mrp2
  • Post Date : January 26, 2026
Diagram Mrp2 9 out of 10 based on 100 ratings. 10 user reviews.

Diagram Mrp2

File Mrp2 Jpg

Mrp

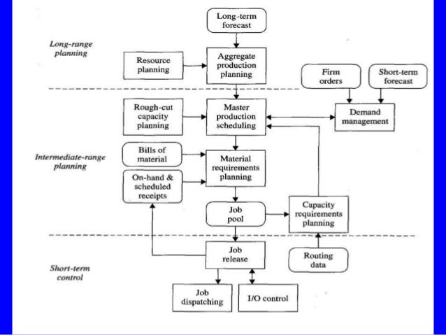
Chapitre 6 Management De Ressources De La Production

Manish 13 Mrp2

Manufacturing Resource Planning

Cours Mrp2 Pdf

How Poor Understanding Of Mrp2 Can Lead To The

Mrp Mrp2 And Erp System In Supply Chain

Sap Mrp2 View - Jefflu99

Chapitre 6 Management De Ressources De La Production

Drug Efflux By Intestinal Transporters Mdr1 And Mrp2 In An

Mrp1 Vs Mrp2

Increased Apical Insertion Of The Multidrug Resistance

Description De La D U00e9marche Mrp2 Les M U00e9thodes En Flux Tir U00e9s

Jeu De La Gpao 2013

Objective Of Mrp And Mrp Ii In Computer Study

Mrp2

Learn Easy With Screen Shots How To Create A Material

The Roles Of Mrp2 Mrp3 Oatp1b1 And Oatp1b3 In

Mrp Mrp2 U30ab U30f3 U30d0 U30f3 U65b9 U5f0f Erp U306e U6bd4 U8f03 Uff5e U5b9f U52d9 U306b U5f79 U7acb U3064 U751f U7523 U7ba1 U7406

Gp Chapitre 4 La Planification De Production

Mrp1 Vs Mrp2

Mrp

Cours Mrp2 Pdf

Photo Modele Mrp2

Trouver Modele Mrp2

Mrp1 Vs Mrp2

Gp Chapitre 4 La Planification De Production

Visuel Modele Mrp2

Cst Abcc2 R260 Antibody

Mrp

The Role Of Intestinal Efflux Transporters In Drug

Hepatocellular Organic Anion U2013transporting Polypeptides

Transporters Mrp1 And Mrp2 Regulate Opposing Inflammatory

Mrp2

Objective Of Mrp And Mrp Ii In Computer Study

Mrp Mrp2 And Erp System In Supply Chain

Multidrug Resistance-associated Protein 2

Mrp Mrpii U0026 Erp

Mrp2 Inhibition

U4e09 U83f1 U96fb U6a5f U5730 U57df U30d3 U30b8 U30cd U30b9 U6d3b U52d5 U4e2d U90e8 U652f U793e U682a U5f0f U4f1a U793e U534a U8c37 U88fd U4f5c U6240 U69d8 U751f U7523 U7ba1 U7406 U30b7 U30b9 U30c6 U30e0 Accroad

Mrp Mrp 2 N Bpr

Biliary Elimination Of Pemetrexed Is Dependent On Mrp2 In

Mrp2 Antibody 6d564

Mrp2 Antibody G-1

Mrp1 Vs Mrp2

Role Of Glycosylation In Trafficking Of Mrp2 In Sandwich

Gpao 3 La Planification De La Production Mrp2

Cst Abcc2 R260 Antibody

Mrp2 Antibody 24893

Mrp1 Vs Mrp2

Mrp Mrp2 And Erp System In Supply Chain

Safety Stock Calculation

Mrp Mrp2 And Erp System In Supply Chain

Mrp2 Antibody M2iii

How Organic Anions Accumulate In Hepatocytes Lacking Mrp2

Diagram Diagram Mrp2

  • Download Diagram Mrp2

    draw.io is free online diagram software for making flowcharts, process diagrams, org charts, UML, ER and network diagrams

    Open and edit diagrams online with Draw.io, a free diagram software supporting various formats and diagram types.

    Create a new diagram, or open an existing diagram in your new tab. To create a new diagram, enter a Diagram Name and click the location where you want to save the file.

    Easily import diagrams from Lucidchart to diagrams.net or draw.io with this simple tool.

    Create and edit diagrams with draw.io, a free diagramming tool that integrates seamlessly with Office 365.

    Create flowcharts and diagrams online with this easy to use software.

    app.diagrams.net

    Access and integrate Google Drive files with Draw.io using the Google Picker tool for seamless diagram creation.

    Clearing Cached version 29.3.4... OK Update Start App

    7.2 The Software will initiate transfers of data forming part of the Diagrams (“Diagram Data”) to services supplied by third parties when you expressly request conversion of Diagrams: a. to another supported file format; and b. to PDF format.

    3 way switch,3 way switch wiring,3 way switch wiring diagram pdf,3 way wiring diagram,3way switch wiring diagram,4 prong dryer outlet wiring diagram,4 prong trailer wiring diagram,6 way trailer wiring diagram,7 pin trailer wiring diagram with brakes,7 pin wiring diagram,alternator wiring diagram,amp wiring diagram,automotive lighting,cable harness,chevrolet,diagram,dodge,doorbell wiring diagram,ecobee wiring diagram,electric motor,electrical connector,electrical wiring,electrical wiring diagram,ford,fuse,honeywell thermostat wiring diagram,ignition system,kenwood car stereo wiring diagram,light switch wiring diagram,lighting,motor wiring diagram,nest doorbell wiring diagram,nest hello wiring diagram,nest labs,nest thermostat,nest thermostat wiring diagram,phone connector,pin,pioneer wiring diagram,plug wiring diagram,pump,radio,radio wiring diagram,relay,relay wiring diagram,resistor,rj45 wiring diagram,schematic,semi-trailer truck,sensor,seven pin trailer wiring diagram,speaker wiring diagram,starter wiring diagram,stereo wiring diagram,stereophonic sound,strat wiring diagram,switch,switch wiring diagram,telecaster wiring diagram,thermostat wiring,thermostat wiring diagram,trailer brake controller,trailer plug wiring diagram,trailer wiring diagram,user guide,wire,wire diagram,wiring diagram,wiring diagram 3 way switch,wiring harness

    close